康美醫院成功爲百歲老人開展股骨微創手術
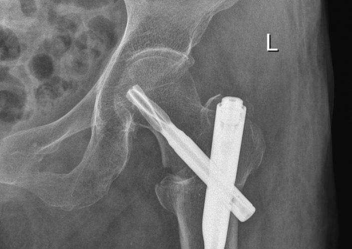
發布時間:2018-03-28 閱讀:3067 3月11日,康美醫院成功爲一名左股骨粗隆間粉碎性骨折的百歲老人開展股骨近端髓内釘(PFNA)内固定手術。
黃婆婆,女,100歲,上塘人,因走路時不慎跌倒,左臀部着地,緻使左髋部疼痛、活動受限,後至某三甲醫院住院治療4天。因高齡,合并有高血壓、老年性退行性心瓣膜病、動脈硬化性腎病、老年性骨質疏松,該醫院不敢爲其手術治療。3月10日,患者轉診至康美醫院外四科(骨科)。
股骨粗隆間粉碎性骨折常見于高齡患者,如果采用傳統保守治療,因股骨自然愈合速度慢,對高齡患者來說意味着可能再也無法站立起來了。同時患者需要長期卧床,易導緻褥瘡、心腦血管疾病、肺部感染、泌尿系感染等各種并發症,增加高齡患者的死亡率。而通過及時手術治療,能讓患者盡早康複、盡早站立起來,提高生活質量,更避免由長期卧床引發的并發症,降低死亡率。
據吳主任介紹,股骨近端髓内釘(PFNA)内固定手術屬于微創手術,具有手術切口小、創傷少、出血少、恢複快等優點。此次爲百歲高齡患者開展股骨微創手術體現我院外四科團隊的精湛技術,以及本院多科室配合綜合診治能力在本地區處于領先水平。
外四科吳主任手機:18122653268(微信同号)
黃婆婆,女,100歲,上塘人,因走路時不慎跌倒,左臀部着地,緻使左髋部疼痛、活動受限,後至某三甲醫院住院治療4天。因高齡,合并有高血壓、老年性退行性心瓣膜病、動脈硬化性腎病、老年性骨質疏松,該醫院不敢爲其手術治療。3月10日,患者轉診至康美醫院外四科(骨科)。

康美醫院外四科随即請内科、麻醉科等相關科室主任會診,經綜合評估,拟定詳細的治療方案。外四科吳主任決定盡早爲其開展微創手術治療,3月11日,在麻醉科和内科的配合下,吳主任帶領團隊成功爲黃婆婆施行左股骨粗隆間骨折閉合複位股骨近端髓内釘(PFNA)内固定手術,整個手術過程隻用了25分鍾左右,手術非常成功。術後醫護人員對其進行周密觀察、精心護理,患者恢複良好,已經康複出院。



吳主任正指導患者做術後康複鍛煉
股骨粗隆間粉碎性骨折常見于高齡患者,如果采用傳統保守治療,因股骨自然愈合速度慢,對高齡患者來說意味着可能再也無法站立起來了。同時患者需要長期卧床,易導緻褥瘡、心腦血管疾病、肺部感染、泌尿系感染等各種并發症,增加高齡患者的死亡率。而通過及時手術治療,能讓患者盡早康複、盡早站立起來,提高生活質量,更避免由長期卧床引發的并發症,降低死亡率。
據吳主任介紹,股骨近端髓内釘(PFNA)内固定手術屬于微創手術,具有手術切口小、創傷少、出血少、恢複快等優點。此次爲百歲高齡患者開展股骨微創手術體現我院外四科團隊的精湛技術,以及本院多科室配合綜合診治能力在本地區處于領先水平。
外四科吳主任手機:18122653268(微信同号)











