超高齡不是骨科手術“禁區” ——我院骨科再次成功爲近百歲高齡老人 開展股骨頭置換術
發布時間:2020-05-13 閱讀:3190 超高齡患者常被認爲是手術的“禁區”,因爲高齡導緻各系統功能減弱而且往往合并多種疾病,手術風險非常高,對施術者是一大挑戰。
近年來康美醫院骨科團隊在吳志斌主任的帶領下,通過不斷探索,并堅持多學科協作,打破“禁區”,在超高齡患者的骨科手術上取得了不凡的成績。該團隊現在每年都要開展多台針對超高齡患者的骨科手術,年齡最大記錄是103歲股骨骨折患者,這些超高齡患者都在我院成功接受手術,并重新站立起來回歸生活。
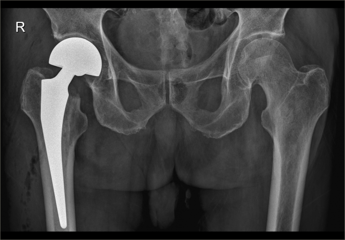
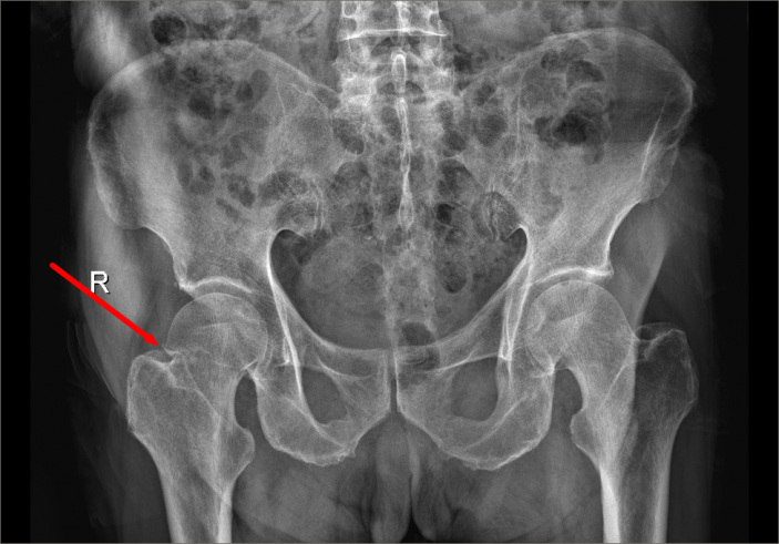
近日,骨科又收治了一位98歲高齡來自占隴鎮的股骨頸骨折患者,該名患者合并有高血壓、糖尿病、肺部感染、泌尿系感染、心律失常、後循環缺血等基礎疾病和并發症,手術治療非常棘手。
爲了手術能順利開展,骨科主任吳志斌一面邀請我院内科專家會診,對内科疾病進行積極治療,爲手術開展創造有利條件,一面召開術前讨論,精心拟定“右側人工股骨頭置換術”的手術方案,并對術中、術後可能出現的情況制定相應對策。
經過内科對症治療後,患者病情穩定,吳主任帶領團隊抓住時機,在麻醉科的配合下,果斷爲其施術。根據術前拟定方案按部就班實施手術,娴熟地切開組織、修整股骨近端、安裝骨柄假體和雙動股骨頭、複位髋關節,并細心檢查髋部活動度良好、雙下肢等長後,縫合切口順利完成手術。因術前準備充分,整個術程一氣呵成,既縮短手術時間,也減少術中出血,有效降低手術給患者帶來的傷害。
近年來康美醫院骨科團隊在吳志斌主任的帶領下,通過不斷探索,并堅持多學科協作,打破“禁區”,在超高齡患者的骨科手術上取得了不凡的成績。該團隊現在每年都要開展多台針對超高齡患者的骨科手術,年齡最大記錄是103歲股骨骨折患者,這些超高齡患者都在我院成功接受手術,并重新站立起來回歸生活。
近日,骨科又收治了一位98歲高齡來自占隴鎮的股骨頸骨折患者,該名患者合并有高血壓、糖尿病、肺部感染、泌尿系感染、心律失常、後循環缺血等基礎疾病和并發症,手術治療非常棘手。
爲了手術能順利開展,骨科主任吳志斌一面邀請我院内科專家會診,對内科疾病進行積極治療,爲手術開展創造有利條件,一面召開術前讨論,精心拟定“右側人工股骨頭置換術”的手術方案,并對術中、術後可能出現的情況制定相應對策。
經過内科對症治療後,患者病情穩定,吳主任帶領團隊抓住時機,在麻醉科的配合下,果斷爲其施術。根據術前拟定方案按部就班實施手術,娴熟地切開組織、修整股骨近端、安裝骨柄假體和雙動股骨頭、複位髋關節,并細心檢查髋部活動度良好、雙下肢等長後,縫合切口順利完成手術。因術前準備充分,整個術程一氣呵成,既縮短手術時間,也減少術中出血,有效降低手術給患者帶來的傷害。
考慮到超高齡患者的基礎疾病多,術後骨科通過與ICU攜手合作,積極對症治療,最終再次成功打破“禁區”,患者順利康複出院,得到了患者家屬的高度贊揚。












